º¹ÇÕCASE (»ß¶Ô¾îÁü, Å©·Î½º, µ¡´Ï)

±³Á¤±â°£ : 16°³¿ù

Ãø¸é Àü/ÈÄCASE

Á¤¸é Àü/ÈÄCASE

µ¡´Ï, Å©·Î½º

±³Á¤±â°£ : 16°³¿ù

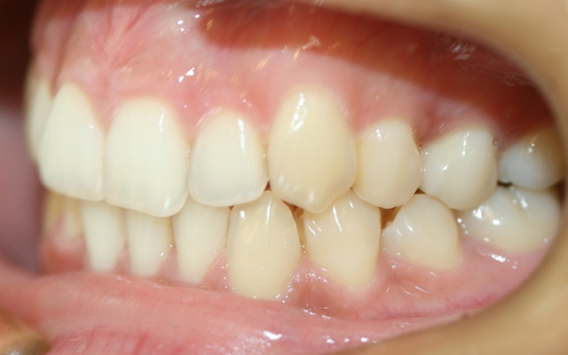
Ãø¸é Àü/ÈÄCASE

Á¤¸é Àü/ÈÄCASE

¹ú¾îÁøÄ¡¾Æ, Å©·Î½º

±³Á¤±â°£ : 6°³¿ù

Ãø¸é Àü/ÈÄCASE

Á¤¸é Àü/ÈÄCASE