¹Ý´ë±³ÇÕ Ä¡¾Æ±³Á¤
¹Ý´ë±³ÇÕÀº ÆíÇÏ°Ô Ä¡¾Æ¸¦ ´Ù¹°¾úÀ»¶§, Á¤»ó±³ÇÕ°ú ´Þ¸® ¾Æ·§´Ï°¡ À´Ï¸¦ µ¤°í ÀÖ´Â Ä¡¾Æ±¸Á¶¸¦ ¸»ÇÕ´Ï´Ù. ¹Ý´ë±³ÇÕÀÌ ½ÉÇÒ°æ¿ì Ä¡¾Æ¿Í ÇÔ²² ÅÎÀÌ ¾ÕÀ¸·Î µ¹ÃâµÇ¸é¼ ÁÖ°ÆÅÎÀ¸·Î ¹ßÀüµÉ ¼ö ÀÖ¸ç ¾Õ´Ï·Î À½½ÄÀ» ÀÚ¸£°Å³ª º£¾î¹«´Â °ÍÀÌ Èûµé¾î Áý´Ï´Ù. Ä¡¾Æ¹è¿ÀÇ ¹®Á¦ÀÏ °æ¿ì Ä¡¾Æ±³Á¤ÀÌ °¡´ÉÇϳª °ñ°ÝÀûÀÎ ¹®Á¦¶ó¸é ¼ö¼úÀ» ÅëÇØ Ä¡·á¸¦ ÁøÇàÇØ¾ß ÇÕ´Ï´Ù.
Ä¡·áÁ¤º¸
Cross Bite°æ¹ÌÇÑ ¹Ý´ë±³ÇÕÀÏ °æ¿ì ±³Á¤Ä¡·á¸¸À¸·Î ¹®Á¦¸¦ ÇØ°áÀÌ °¡´ÉÇÏÁö¸¸ Á¤µµ°¡ ½ÉÇÑ °ñ°ÝÀûÀÎ ¹®Á¦ÀÎ °æ¿ì ÇϾǼö¼ú, ¾ç¾Ç¼ö¼úÀ» µ¿¹ÝÇÏ¿© ±³Á¤Ä¡·á°¡ ÇÊ¿äÇÕ´Ï´Ù. ¼ö¼úÀ» ÅëÇÑ ±³Á¤Ä¡·á´Â ±â´ÉÀûÀÎ °³¼±È¿°ú¿Í ½É¹Ì¼ºÀÇ È¿°ú¸¦ ÇÔ²² ¾òÀ» ¼ö ÀÖ½À´Ï´Ù.
½Ã¼ú ´ë»ó
- ¾Æ·§´Ï°¡ À´Ïº¸´Ù ¾ÕÀ¸·Î ³ª¿ÍÀÖ´Â °æ¿ì
- ¾Æ·¡ÅÎ ³¡ÀÌ ÀÔ¼úº¸´Ù ¾ÕÀ¸·Î ³ª¿ÍÀÖ´Â °æ¿ì
- ¾Õ´Ï·Î ±¹¼ö³ª ³Ã¸éÀ» ²÷¾î¸ÔÀ» ¼ö°¡ ¾øÀ» °æ¿ì
- ¸»ÇÒ ¶§ ¹ßÀ½ÀÌ »õ´Â ¼Ò¸®°¡ ³ª´Â °æ¿ì
- ¾ó±¼ÇüÀÌ ±ä °æ¿ì
¹Ý´ë±³ÇÕ Ä¡¾Æ±³Á¤ÀÌ ¿Ö ÇÊ¿äÇѰ¡¿ä?
À§ Ä¡¾Æ°¡ ºñÁ¤»óÀûÀ¸·Î ´â°Ô µÇ°í ¾Æ·¡ Ä¡¾Æ »Ñ¸®±îÁö ¼Õ»óµÉ ¼ö ÀÖÀ¸¸ç ½ÉÇÑ °æ¿ì¿¡´Â ÅΰüÀý±îÁö ¹«¸®°¡ °¥ ¼öµµ ÀÖ½À´Ï´Ù. ¶ÇÇÑ, ¼ºÀå±â ¾Æµ¿ÀÇ °æ¿ì ¾Æ·¡ÅÎÀº ÀÚ¶óÁö¸¸ À§ÅÎÀº ¾Æ·¡Åο¡ °¤ÇôÀÖ¾î ÀÚ¶óÁö ¾Ê±â ¶§¹®¿¡ ÁÖ°ÆÅÎÀÌ µÉ ¼öµµ ÀÖ½À´Ï´Ù. ÀÌ·± °æ¿ì¿¡´Â ¼ºÀåÀÌ ³¡³µÀ» ¶§ ¾Ç±³Á¤ ¼ö¼úÀ» µ¿¹ÝÇÑ Ä¡·á¸¦ ¹Þ¾Æ¾ß µÉ ¼öµµ ÀÖ½À´Ï´Ù.
¹Ý´ë±³ÇÕ Ä¡¾Æ±³Á¤ÀåÄ¡
°³ÀÎ Ä¡¾Æ»óÅ¿¡ µû¸¥ ±³Á¤ÀåÄ¡ ¼±ÅÃÀÌ Áß¿äÇÕ´Ï´Ù.
¹Ý´ë±³ÇÕ±³Á¤ CASE
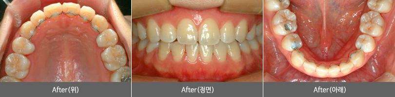
¹Ý´ë±³ÇÕ±³Á¤ ÀüÈÄ º¸·¯°¡±â- ¹Ý´ë±³ÇÕ±³Á¤ Àü »çÁø
- ¹Ý´ë±³ÇÕ±³Á¤ ÈÄ »çÁø
¿øÁø¹Ù¸¥¾ó±¼Ä¡°ú Ä¡¾Æ±³Á¤ Ư¡
Orthodontic Treatment¿øÁø¹Ù¸¥¾ó±¼Ä¡°ú´Â ÀÛ°í ¿¹»Û ¾ó±¼Çü»Ó ¾Æ´Ï¶ó
¾ó±¼ ¾È¿¡¼ÀÇ Á¶È±îÁö ºÐ¼®ÇÏ¿© ´ç½ÅÀÇ ¼û°ÜÁø ¾Æ¸§´Ù¿òÀ» ã¾Æµå¸³´Ï´Ù.
-
dzºÎÇÑ °æÇèÀ» ÅëÇÑ ±â´É°ú ½É¹Ì¸¦ Çѹø¿¡!
dzºÎÇÑ °æÇèÀ» ÅëÇØ Á÷¾÷, ³ªÀÌ µî ¾ó±¼ÀÇ ÀüüÀûÀÎ Á¶È·Î¿òÀ» °í·ÁÇÏ¿© °¡Àå ÀûÇÕÇÑ ±³Á¤¹æ½ÄÀ» Á¦½ÃÇØµå¸³´Ï´Ù. -
ÇùÁøÀ» ÅëÇÑ Ã¶ÀýÇÑ °èȹ¼ö¸³°ú ÷´Ü 3D CT¸¦ ÀÌ¿ëÇÑ Á¤¹Ð Áø´Ü
±³Á¤°ú, º¸Ã¶°úÀÇ ÇùÁøÀ» ÅëÇØ Ä¡¾Æ±³Á¤ °èȹÀ» ¼ö¸³Çϰí 3D CT¸¦ ÀÌ¿ëÇÑ ÆÇµ¶À¸·Î Á¤È®ÇÏ°í ¾ÈÀüÇÑ Áø·á°¡ °¡´ÉÇÕ´Ï´Ù. -
3D °¡»ó ¿¹Ãø ÇÁ·Î±×·¥
3D °¡»ó ¿¹Ãø ÇÁ·Î±×·¥À» ÅëÇØ ±³Á¤ ÈÄ ¸ð½ÀÀ» Á¤È®È÷ ¿¹Ãø Áø´ÜÇÔÀ¸·Î½á ½ÇÁ¦Ä¡·á¿ÍÀÇ ¿ÀÂ÷¸¦ ÃÖ´ëÇÑ ÁÙÀ̰í ÀÖ½À´Ï´Ù. -
öÀúÇÑ »çÈİü¸® ¹× Ã¥ÀÓÁø·á
¿øÁø¹Ù¸¥¾ó±¼Ä¡°ú ÀÇ·áÁøÀº ½Ã¼ú ¹× Ä¡·á ÈÄ¿¡µµ ¸¸Á·½º·¯¿î °á°ú¸¦ À§ÇØ Ã¶ÀúÇÏ°Ô Ã¥ÀÓÀ» °®°í Áø·áÇϰí ÀÖ½À´Ï´Ù.

















