Ä¡¾Æ±³Á¤ - ¿øÁøÄ¡°úÀÇ¿ø

¿Ü¸ð¿¡ ´ëÇÑ Àڽۨ±îÁö »ý°¢ÇÕ´Ï´Ù.

¿øÁø¸¸ÀÇ Ä¡¾Æ±³Á¤

Åõ¹ÚÇÏ°í °¡Áö·±ÇÏÁö ¸øÇß´ø Ä¡¾Æ
±³Á¤À¸·Î ¼û¾îÀÖ¾ú´ø ¿Ü¸ð±îÁö ã¾Æµå¸³´Ï´Ù.

¾Õ´ÏºÎºÐ±³Á¤

°¡°ÝºÎ´ã ¾øÀÌ
´Ü±â°£ ºÎºÐ±³Á¤

È®½ÇÇÑ Àüü±³Á¤

µ¹ÃâÀÔ, ÁÖ°ÆÅÎ ºÎÁ¤±³ÇÕ¿¡
°¡Àå ÀûÇÕÇÑ Àüü±³Á¤

½É¹ÌÀû ¸ÂÃã±³Á¤

Ä¡¾Æ»óÅÂ¿Í Á÷¾÷, ³ªÀ̵î
°í°´ÀÇ È¯°æ¿¡ ¸ÂÃá ½É¹Ì±³Á¤

Ä¡¾ÆÀç±³Á¤

´õ¿í ²Ä²ÄÈ÷
´õ¿í µðÅ×ÀÏÇϰÔ

¼­¿ï´ë, ¿¬¼¼´ë ÀÇ·áÁø ±¸¼º
¹ÏÀ» ¼ö ÀÖ´Â Ä¡°ú!

  • 10³â°£ ÁÙ °ð °­³² ÇÑÀÚ¸®¿¡¼­
    ±³Á¤À» Àü¹®À¸·Î ÇÏ´Â Ä¡°úÀÔ´Ï´Ù.
  • ¼­¿ï´ë, ¿¬¼¼´ë ÀÇ·áÁø ±¸¼º

  • ±¹°¡ÀÎÁõ Ä¡°ú±³Á¤°ú Àü¹®ÀÇ
    ´ëÇÑÄ¡°ú±³Á¤ÇÐȸ ÀÎÁ¤ÀÇ

º¸°Çº¹ÁöºÎ°¡ ÀÎÁ¤ÇÑ Àü¹®ÀÇ
¹ÏÀ» ¼ö ÀÖ´Â ÀÇ·áÁø

  • ÀÌÇѾÆ
    ±³Á¤°ú ¿øÀå

    Ä¡¾Æ±³Á¤, ºÎºÐ, ¼³Ãø±³Á¤, ¼ö¼ú±³Á¤

    ¾à·Â

    ¿¬¼¼´ëÇб³ Ä¡°ú´ëÇÐ Á¹¾÷
    ¿¬¼¼´ëÇб³ Ä¡°ú´ëÇпø Á¹¾÷
    ¿¬¼¼´ëÇб³ Ä¡°ú±³Á¤ÇÐ Àü°ø ¼®»ç
    ¿¬¼¼´ëÇб³ Ä¡°ú±³Á¤ÇÐ Àü°ø ¹Ú»ç
    ¿¬¼¼´ëÇб³ Ä¡°ú´ëÇк´¿ø ÀÎÅÏ ¼ö·á
    ¿¬¼¼´ëÇб³ Ä¡°ú´ëÇк´¿ø ±³Á¤°ú ·¹Áö´øÆ® ¼ö·á
    Çö) ¿øÁøÄ¡°úÀÇ¿ø ±³Á¤°ú ¿øÀå

    ÇÐȸ

    ´ëÇÑÄ¡°ú±³Á¤ÇÐȸ Á¤È¸¿ø / ±³Á¤°ú Àü¹®ÀÇ
    University of South Califonia exchange resident Program ¼ö·á
    New York University Implant course ¼ö·á

»ó´ã, Áø´Ü¿¡¼­ ÀåÄ¡ ºÎÂø±îÁö ÇϷ縸¿¡!
¿øµ¥ÀÌ ±³Á¤ ÇÁ·Î±×·¥

  • STEP.01

    ¹æ¹® ¹× »ó´ã

    Ä¡¾Æ »óÅ ȮÀÎ ¹×
    »ó´ã ÁøÇà

  • STEP.02

    CT Á¤¹ÐÁø´Ü

    3D CT ¹×
    ±¸°­»óÅ ȮÀÎ

  • STEP.03

    ±³Á¤ °èȹ¼ö¸³

    Ä¡¾Æ»óÅ¿¡ µû¸¥
    Ä¡·á¹æ¹ý ¹× ÀåÄ¡¼±ÅÃ

  • STEP.04

    ±³Á¤ÀåÄ¡ ºÎÂø

    ±¸°­Áø·á ÈÄ
    ´çÀÏ ±³Á¤ÀåÄ¡ ºÎÂø

±â´Ù¸®Áö¸¶¼¼¿ä! ÇÏ·ç¸é ÃæºÐÇÕ´Ï´Ù.

¸Õ °÷¿¡¼­ ³»¿ø ¹× ¸¹Àº ½Ã°£À» ³»±â ¾î·Á¿ì½Å ºÐµéÀ» À§ÇØ
»ó´ã¿¡¼­ ±³Á¤ÀåÄ¡ ºÎÂø±îÁö ÇÏ·ç¿¡ ÁøÇà°¡´ÉÇÑ ¿øµ¥ÀÌ ±³Á¤ ÇÁ·Î±×·¥À» ¿î¿µÇϰí ÀÖ½À´Ï´Ù.

ºÎÁ¤±³ÇÕÀ» ºñ¼ö¼ú·Î ±³Á¤ÀÌ °¡´ÉÇÕ´Ï´Ù.
´Ù¾çÇÑ ±³Á¤ÄÉÀ̽º

    Q

    ÀÏ¹Ý Ä¡¾ÆÄÉÀ̽º

  • ¹ú¾îÁøÄ¡¾Æ

    Ä¡¾Æ»çÀ̰¡ ¹ú¾îÁø»óÅÂ

  • Å©·Î½ºÄ¡¾Æ

    Ä¡¾Æ°¡ »ß¶Ô¾îÁø»óÅÂ

  • »µµå··´Ï

    Ä¡¾Æ°¡ µµµå¶óÁö°Ô »¸Àº »óÅÂ

  • µ¡´ÏÄ¡¾Æ

    ¼Û°÷´Ï°¡ µ¹ÃâµÈ »óÅÂ

    Q

    ºÎÁ¤±³ÇÕ ÄÉÀ̽º

  • µ¹ÃâÄ¡¾Æ

    ¾Õ´Ï Ä¡¾Æ°¡ µ¹ÃâµÈ »óÅÂ

  • °³¹æ±³ÇÕ

    ¾Õ´Ï Ä¡¾Æ°¡ ´ÝÈ÷Áö ¾Ê´Â »óÅÂ

  • °ú°³±³ÇÕ

    ¾Æ·§´Ï¸¦ °úÇÏ°Ô µ¤Àº »óÅÂ

  • ÁÖ°ÆÅÎ

    ¾Æ·§´Ï°¡ À­´Ï¸¦ µ¤Àº »óÅÂ

¿øÁøÄ¡°ú¸¸ÀÇ Ä¡¾Æ±³Á¤ ÇÁ·Î±×·¥

Àú·ÅÇÏ°Ô ºü¸£°Ô ±³Á¤ÇÏ°í ½Í´Ù¸é!

´Ü±â°£ ¾Õ´Ï±Þ¼Ó±³Á¤

  • ¹Ì´ÏÆ©ºê MTA±³Á¤

    °¡Àå ¾ãÀº Æ©ºêÇüÅÂÀÇ ¼¼¶ó¹ÍÀåÄ¡

    ´Ü¼øµðÀÚÀÎ, ÀûÀº À̹°°¨, ±¸°­À§»ý°ü¸® À¯¸®
    ¾Õ´Ï±³Á¤¿¡¼­ °¡Àå ¸¹ÀÌ »ç¿ëÇÏ´Â ºÎºÐ±³Á¤

  • 2D ¼³Ãø±³Á¤

    ÀϹÝÀåÄ¡ 1/2 µÎ²²ÀÇ ¾ãÀº ¼³ÃøÀåÄ¡

    ¹ßÀ½ ¹× À̹°°¨ÀÌ ÇöÀúÈ÷ ÀûÀ½
    ¼³Ãø±³Á¤À¸·Î ÀåÄ¡°¡ ¾Èº¸ÀÌ´Â ½É¹Ì¼º

  • ¼¼¶ó¹Í ºÎºÐ±³Á¤

    ¼¼¶ó¹ÍÀåÄ¡¸¦ ÀÌ¿ëÇÑ ºÎºÐ±³Á¤

    ¼¼¶ó¹Í, Ŭ¸®ÇǾ¾ÀåÄ¡¸¦ ÀÌ¿ëÇÏ¿©
    ºÎºÐ±³Á¤À» º¸´Ù ºü¸£°í È®½ÇÇÏ°Ô ±³Á¤

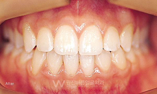
´Ù¾çÇÑ Áõ»óº° Ä¡¾Æ±³Á¤ ÀüÈÄ»çÁø

Ä¡¾Æ¹ú¾îÁüÀÌ ÀûÀº Ä¡¾Æ¿¡¼­ µ¡´Ï, µ¹ÃâÀÔ, ÁÖ°ÆÅÎ °°Àº ºÎÁ¤±³ÇÕ±îÁö
°í°´ÀÇ Áõ»ó¿¡ ¸Â´Â ±³Á¤ÀåÄ¡¸¦ Á¦¾ÈÇÏ¿© ÀÌ»óÀûÀÎ Ä¡¾Æ¶óÀÎÀ¸·Î ±³Á¤ÇÕ´Ï´Ù.

¹ú¾îÁøÀÌ #01
  • Before
    ¹ú¾îÁøÀÌ

  • After
    ±³Á¤±â°£ : ¾à 12°³¿ù

¹ú¾îÁøÀÌ #02
  • Before
    ¹ú¾îÁøÀÌ(Á¤¸é)

  • After
    ±³Á¤±â°£ : ¾à 12°³¿ù

µ¡´Ï #01
  • Before
    µ¡´Ï

  • After
    ±³Á¤±â°£ : ¾à 24°³¿ù

µ¡´Ï #02
  • Before
    µ¡´Ï(Ãø¸é)

  • After
    ±³Á¤±â°£ : ¾à 24°³¿ù

ºÎºÐ±³Á¤ #01
  • Before
    MTA ºÎºÐ±³Á¤(Á¤¸é)

  • After
    ±³Á¤±â°£ : ¾à 8°³¿ù

ºÎºÐ±³Á¤ #02
  • Before
    MTA ºÎºÐ±³Á¤(»ó¾Ç)

  • After
    ±³Á¤±â°£ : ¾à 8°³¿ù

°³¹æ±³ÇÕ #01
  • Before
    °³¹æ±³ÇÕ

  • After
    ±³Á¤±â°£ : ¾à 24°³¿ù

°³¹æ±³ÇÕ #02
  • Before
    °³¹æ±³ÇÕ(Ãø¸é)

  • After
    ±³Á¤±â°£ : ¾à 24°³¿ù

ºñ´ëĪ, ÁÖ°ÆÅÎ #01
  • Before
    ºñ´ëĪ, ÁÖ°ÆÅÎ

  • After
    ±³Á¤±â°£ : ¾à 26°³¿ù

ºñ´ëĪ, ÁÖ°ÆÅÎ #02
  • Before
    ºñ´ëĪ, ÁÖ°ÆÅÎ(Ãø¸é)

  • After
    ±³Á¤±â°£ : ¾à 26°³¿ù

µ¡´Ï, °³¹æ±³ÇÕ #01
  • Before
    µ¡´Ï, °³¹æ±³ÇÕ(Á¤¸é)

  • After
    ±³Á¤±â°£ : ¾à 26°³¿ù

µ¡´Ï, °³¹æ±³ÇÕ #02
  • Before
    µ¡´Ï, °³¹æ±³ÇÕ(Ãø¸é)

  • After
    ±³Á¤±â°£ : ¾à 26°³¿ù

µ¡´Ï, ÁÖ°ÆÅÎ #01
  • Before
    µ¡´Ï, ÁÖ°ÆÅÎ(Á¤¸é)

  • After
    ±³Á¤±â°£ : ¾à 26°³¿ù

µ¡´Ï, ÁÖ°ÆÅÎ #02
  • Before
    µ¡´Ï, ÁÖ°ÆÅÎ(Ãø¸é)

  • After
    ±³Á¤±â°£ : ¾à 26°³¿ù

Page :

¿øÁøÄ¡°ú¸¸ÀÇ Ä¡¾Æ±³Á¤ ½Ã½ºÅÛ

±³Á¤À» À§ÇÑ ÇùÁø½Ã½ºÅÛ

¿Ï¼ºµµ ³ôÀº Ä¡¾Æ±³Á¤, Ä¡¾Æ¼ºÇü Ä¡·á¸¦ À§ÇØ
ºÐ°úº° ÀÇ·áÁø ÇùÁøÀ¸·Î ¼öÁØ ³ôÀº Áø·á¸¦ ½ÃÇàÇϰí ÀÖ½À´Ï´Ù.

CONTACT US

  • »ó´ã´ëÇ¥¹øÈ£

    02-3476-2879

  • ¿À½Ã´Â±æ

    ¼­¿ï °­³²±¸ °­³²´ë·Î 390 ¹ÌÁøÇÁ¶óÀÚ 13Ãþ ¿øÁøÄ¡°úÀÇ¿ø
    (¿ª»ïµ¿ 825)

  • Áø·á½Ã°£

    • Æò ÀÏ10:00 ~ 21:00(¾ß°£Áø·á)
    • ¼ö ¿ä ÀÏ10:00 ~ 19:00
    • ±Ý ¿ä ÀÏ14:00 ~ 21:00(¾ß°£Áø·á)
    • Åä ¿ä ÀÏ10:00 ~ 16:00
    • ÀÏ, °øÈÞÀÏÈÞÁø

¿øÁøÄ¡°úÀÇ¿ø