¿øÁø¹Ù¸¥¾ó±¼Ä¡°ú ÀÓÇöõÆ®
ÀÓÇöõÆ® °Ç°­º¸Çè

Health Insurance Implant

  • ºÎ´ã½º·¯¿ü´ø ÀÓÇöõÆ® Ä¡·áºñ °Ç°­º¸ÇèÀ¸·Î ºÎ´ãÀ» ´ú¾îµå¸³´Ï´Ù.

    ÀÚ¿¬ Ä¡¾Æ°¡ Á¦ ±â´ÉÀ» »ó½ÇÇßÀ» ¶§ ºÎµæÀÌÇÏ°Ô ÀÓÇöõÆ®¸¦ ½Ä¸³ÇÏ°Ô µË´Ï´Ù. ÇÏÁö¸¸ ÀÓÇöõÆ® ºñ¿ë ºÎ´ãÀ¸·Î Ä¡·á¸¦ ¹Ì·ç°í °è¼Ì´øºÐµéÀÌ ¸¹À¸½Ç °Ì´Ï´Ù. 2018³â 7¿ùºÎÅÍ ¸¸ 65¼¼ ÀÌ»ó °í·É ȯÀڵ鿡°Ô ÀÓÇöõÆ® ºñ¿ë¿¡ ´ëÇÑ º»ÀÎ ºÎ´ã·üÀÌ 50%¿¡¼­ 30%·Î ÀÎÇϵǾú½À´Ï´Ù.

    ÀÓÇöõÆ® º¸ÇèÀû¿ë

ÀÓÇöõÆ® °Ç°­º¸Çè Àû¿ë

ÀÓÇöõÆ® °Ç°­º¸Çè Àû¿ë
±¸ºÐ ÀÓÇöõÆ® °Ç°­º¸Çè Àû¿ë
  • ´ë»ó
  • ¸¸ 65¼¼ ÀÌ»ó °Ç°­º¸Çè °¡ÀÔÀÚ ¶Ç´Â ÇǺξçÀÚ Ä¡¾Æ
    ÀϺΰ¡ ¾ø´Â ¾î¸£½Å(ºÎºÐ ¹«Ä¡¾Ç)
  • Àû¿ë

  • PFM º¸Ã¶¼öº¹ ÀÓÇöõÆ®
  • ¹üÀ§
  • Æò»ý 1Àδç 2°³
  • ºÎ´ã·ü
  • °Ç°­º¸Çè°¡ÀÔÀÚ º»ÀÎ ºÎ´ã·ü 50%
    (2018³â 7¿ùºÎÅÍ º»ÀÎ ºÎ´ã·ü 30%)
  • Á¶°Ç
  • ¹«Ä¡¾Ç Á¦¿Ü, ÀÓÇöõÆ® Ʋ´Ï Á¦¿Ü
  • Èñ±Í³­Ä¡¼º ÁúȯÀÚ 10% / ¸¸¼ºÁúȯÀÚ µî 20%

Ʋ´Ï °Ç°­º¸Çè(¿ÏÀüƲ´Ï) Àû¿ë

Ʋ´Ï °Ç°­º¸Çè Àû¿ë(¿ÏÀüƲ´Ï º¸Çè)
±¸ºÐ ¿ÏÀüƲ´Ï º¸Çè
  • ´ë»ó
  • ¸¸ 65¼¼ ÀÌ»ó °Ç°­º¸Çè °¡ÀÔÀÚ or ÇǺξçÀÚ
    Ä¡¾Æ°¡ Çϳªµµ ¾ø´Â ¿ÏÀü ¹«Ä¡¾Ç
  • Àû¿ë

  • ·¹Áø»ó / ±Ý¼Ó»ó ¿ÏÀüƲ´Ï
  • ¹üÀ§
  • 7³â, 1ȸÀû¿ë
  • ºÎ´ã·ü
  • º»ÀÎ ºÎ´ã·ü 30%(2017³â 11¿ù ºÎÅÍ ½ÃÇà)
  • °ü¸®
  • Á¦ÀÛ ÈÄ 3°³¿ù, 6ȸ¿¡ ÇÑÇØ ¹«»ó À¯Áö°ü¸® °¡´É

  • º¸Çè Æ²´Ï, º¸Çè ÀÓÇöõÆ®´Â Ä¡°ú, º´/ÀÇ¿ø¿¡¼­ »çÀü¿¡ µî·Ï ÈÄ ½Ã¼úÀÌ °¡´ÉÇÕ´Ï´Ù.
  • ±âÁ¸¿¡ ºÎºÐƲ´Ï º¸Çè ÇýÅÃÀ» ¹Þ¾Ò¾îµµ, ÀÓÇöõÆ® ½Ã¼ú 2°³±îÁö º¸Çè ÇýÅÃÀ» ¹ÞÀ» ¼ö ÀÖ½À´Ï´Ù.
  • ½Å°æÄ¡·á, ½ºÄÉÀϸµ, ÀÕ¸öÄ¡·á, ÀÕ¸ö¼ö¼ú µî °Ç°­º¸Çè Àû¿ë Áø·á°ú¸ñÀÔ´Ï´Ù.

Ʋ´Ï °Ç°­º¸Çè(¿ÏÀüƲ´Ï) Àû¿ë

Ʋ´Ï °Ç°­º¸Çè Àû¿ë(ºÎºÐƲ´Ï º¸Çè)
±¸ºÐ ºÎºÐƲ´Ï º¸Çè
  • ´ë»ó
  • ¸¸ 65¼¼ ÀÌ»ó °Ç°­º¸Çè °¡ÀÔÀÚ or ÇǺξçÀÚ
    Ä¡¾Æ ÀϺΰ¡ ¾ø´Â ºÎºÐ ¹«Ä¡¾Ç
  • Àû¿ë

  • Ŭ¶ó½ºÇÁ / À¯ÁöÇü / ºÎºÐƲ´Ï
  • ¹üÀ§
  • 7³â, 1ȸÀû¿ë
  • ºÎ´ã·ü
  • º»ÀÎ ºÎ´ã·ü 30%(2017³â 11¿ù ºÎÅÍ ½ÃÇà)
  • °ü¸®
  • Á¦ÀÛ ÈÄ 3°³¿ù, 6ȸ¿¡ ÇÑÇØ ¹«»ó À¯Áö°ü¸® °¡´É

  • º¸Çè Æ²´Ï, º¸Çè ÀÓÇöõÆ®´Â Ä¡°ú, º´/ÀÇ¿ø¿¡¼­ »çÀü¿¡ µî·Ï ÈÄ ½Ã¼úÀÌ °¡´ÉÇÕ´Ï´Ù.
  • ±âÁ¸¿¡ ºÎºÐƲ´Ï º¸Çè ÇýÅÃÀ» ¹Þ¾Ò¾îµµ, ÀÓÇöõÆ® ½Ã¼ú 2°³±îÁö º¸Çè ÇýÅÃÀ» ¹ÞÀ» ¼ö ÀÖ½À´Ï´Ù.
  • ½Å°æÄ¡·á, ½ºÄÉÀϸµ, ÀÕ¸öÄ¡·á, ÀÕ¸ö¼ö¼ú µî °Ç°­º¸Çè Àû¿ë Áø·á°ú¸ñÀÔ´Ï´Ù.

ÀÓÇöõÆ® ½Ã¼ú Àü / ÈÄ ÁÖÀÇ»çÇ×

    Q

    ½Ã¼ú Àü ÁÖÀÇ»çÇ×

- °íÇ÷¾ÐÀ̳ª ´ç´¢°¡ ÀÖÀ» °æ¿ì ¾àÀÇ º¹¿ë ¿©ºÎ¿Í Ç÷¾Ð, Ç÷´ç ¼öÄ¡¸¦ Á¤È®ÇÏ°Ô ÀÇ·áÁø¿¡°Ô ¾Ë·ÁÁÖ¼Å¾ß ÇÕ´Ï´Ù.
- ½ÉÇ÷°üÁúȯÀ̳ª ³úÁ¹Áß ¿¹¹æÀ» À§ÇØ ¾Æ½ºÇǸ°À» º¹¿ëÇϰí ÀÖ´Ù¸é ÀÇ·áÁø¿¡°Ô º¹¿ë »ç½ÇÀ» ¹Ýµå½Ã ¾Ë·Á ÁÖ¼Å¾ß ÇÕ´Ï´Ù.
- ƯÁ¤¾à¹°¿¡ ´ëÇÑ ºÎÀÛ¿ë, ¾Ë·¹¸£±â°¡ ÀÖ´Ù¸é ÀÇ·áÁø¿¡°Ô »çÀü¿¡ ¾Ë·ÁÁÖ¼Å¾ß ÇÕ´Ï´Ù.
- ½Ã¼ú Àü ¿Ïº®ÇÑ Ä¡·á¸¦ À§ÇØ ÃæºÐÇÑ È޽İú ½Ä»ç·Î ÃÖ»óÀÇ ÄÁµð¼ÇÀ» À¯ÁöÇÏ´Â°Ô ÁÁ½À´Ï´Ù.

    Q

    ½Ã¼ú ÈÄ ÁÖÀÇ»çÇ×

- ¼ö¼úºÎÀ§¿¡ 2½Ã°£ µ¿¾È °ÅÁ ¹°°í ÀÖ¾î¾ß ÇÕ´Ï´Ù. ÃâÇ÷·®ÀÌ ¸¹À» ½Ã »õ°ÅÁ ¹°°í º´¿øÀ¸·Î ¿¬¶ôÁֽñ⠹ٶø´Ï´Ù.
(´ëÇ¥¹øÈ£ : 02-3476-2879)
- ºü¸¥ ÁöÇ÷À» À§ÇØ È帣´Â Çdzª ħÀ» ¹ñÁö ¸¶½Ã°í »ïŰ½Ã´Â°Ô ÁÁ½À´Ï´Ù.
- ¼ö¼ú ÈÄ ¶ß°Ì°í ÀÚ±ØÀûÀÎ À½½ÄÀÇ ¼·Ã븦 »ï°¡ÇØÁֽðí, »¡´ë»ç¿ëÀ̳ª Èí¿¬Àº ÁöÇ÷À» ¹æÇØÇϱ⠶§¹®¿¡ »ï°¡ÇÏ½Ã´Â°Ô ÁÁ½À´Ï´Ù.
- ÂòÁú¹æ, »ç¿ì³ª, ¶¡ÀÌ ³ª´Â ¹«¸®ÇÑ ¿îµ¿Àº »ï°¡ÇÏ½Ã´Â°Ô ÁÁ½À´Ï´Ù.
- ¼ö¼ú ÈÄ º×±â, ÅëÁõ ¿ÏÈ­¸¦ À§ÇØ 48½Ã°£Àº µ¿¾È º×±â 10ºÐ °£°ÝÀ¸·Î ³ÃÂòÁúÀ» ÇØÁÖ´Â°Ô ÁÁ½À´Ï´Ù.
- ½Ã¼ú ÈÄ 3ÀϰºÎÅÍ´Â ¿ÂÂòÁú·Î ºü¸¥ ȸº¹ÀÌ °¡´ÉÇÕ´Ï´Ù.
- ¼ö¼ú ÈÄ 2ÁÖ µ¿¾ÈÀº ±Ý¿¬, ±ÝÁÖ ÇÏ½Ã´Â°Ô ÁÁ½À´Ï´Ù.
- ¼ö¼ú ÈÄ Ã³¹æµÈ ¾àÀº ²À ì°Ü µå½Ã°í ÀÓÀÇ·Î Áß´ÜÇÏ½Ã¸é ¾ÈµË´Ï´Ù.
- »ó¾Çµ¿ °Å»ó¼úÀ» ½ÃÇàÇÑ °æ¿ì ÄÚ¸¦ Ç®°Å³ª, Àçä±â´Â ÃÖ´ëÇÑ ÀÚÁ¦ÇØ ÁÖ½Ã°í ±â¾ÐÀÌ ¹Ù²ð ¼ö ÀÖ´Â ³ôÀº °÷¿¡ ¿Ã¶ó°¡°Å³ª, ºñÇà±â Ÿ½Ã´Â °ÍÀ» Á¦¾ÈÇÕ´Ï´Ù.

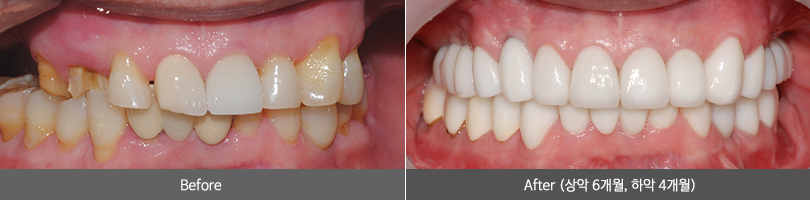
ÀÓÇöõÆ® CASE

ÀÓÇöõÆ® ÀüÈÄ»çÁø
  • º¯»ö, Ä¡¾Æ¼Ò½Ç ÀüÈÄ»çÁø
  • ÀÓÇöõÆ® ÀüÈÄ»çÁø ÀÓÇöõÆ® ÀüÈÄ»çÁø

¿øÁø¹Ù¸¥¾ó±¼Ä¡°ú ÀÓÇöõÆ® Â÷º°¼º

Implant Orthodontic Treatment
  • #

    ¾ó±¼ ¾È¿¡¼­ÀÇ Á¶È­±îÁö ºÐ¼®ÇÏ¿© ¾Æ¸§´Ù¿ò ¼±»ç

    ¿øÁø¹Ù¸¥¾ó±¼Ä¡°ú´Â ÀÛ°í ¿¹»Û ¾ó±¼Çü»Ó ¾Æ´Ï¶ó ¾ó±¼ ¾È¿¡¼­ÀÇ Á¶È­±îÁö ºÐ¼®ÇÏ¿© ´ç½ÅÀÇ ¼û°ÜÁø ¾Æ¸§´Ù¿òÀ» ã¾Æµå¸³´Ï´Ù.

  • #

    ÇùÁøÀ» ÅëÇÑ Ã¶ÀúÇÑ °èȹ°ú ÷´Ü 3D CT¸¦ ÀÌ¿ëÇÑ Á¤¹Ð Áø´Ü

    ±³Á¤°ú, º¸Ã¶°úÀÇ ÇùÁøÀ» ÅëÇØ Ä¡¾Æ±³Á¤ °èȹÀ» ¼ö¸³Çϰí 3D CT¸¦ ÀÌ¿ëÇÑ ÆÇµ¶À¸·Î Á¤È®ÇÏ°í ¾ÈÀüÇÑ Áø·á°¡ °¡´ÉÇÕ´Ï´Ù.

  • #

    ÀÎü°øÇÐÀûÀ¸·Î Áø´ÜÇÏ´Â 3D°¡»ó ¿¹ÃøÇÁ·Î±×·¥

    3D °¡»ó ¿¹Ãø ÇÁ·Î±×·¥À» ÅëÇØ ±³Á¤ ÈÄ ¸ð½ÀÀ» Á¤È®È÷ ¿¹Ãø Áø´ÜÇÔÀ¸·Î½á ½ÇÁ¦Ä¡·á¿ÍÀÇ ¿ÀÂ÷¸¦ ÃÖ´ëÇÑ ÁÙÀ̰í ÀÖ½À´Ï´Ù.

  • #

    öÀúÇÑ »çÈİü¸® ¹× Ã¥ÀÓÁø·á

    ¿øÁø¹Ù¸¥¾ó±¼Ä¡°ú ÀÇ·áÁøÀº ½Ã¼ú ¹× Ä¡·á ÈÄ¿¡µµ ¸¸Á·½º·¯¿î °á°ú¸¦ À§ÇØ Ã¶ÀúÇÏ°Ô Ã¥ÀÓÀ» °®°í Áø·áÇϰí ÀÖ½À´Ï´Ù.

Ä«Åå»ó´ã ³×À̹ö¿¹¾à

¿øÁøÄ¡°úÀÇ¿ø