¿øÁø¹Ù¸¥¾ó±¼Ä¡°ú ÀÓÇöõÆ®
Áï½Ã ÀÓÇöõÆ®

Immediate Dental Implant

  • Ä¡¾Æ¸¦ »©´Â µ¿½Ã¿¡ ÀÓÇöõÆ®¸¦ ½Ä¸³ÇÏ´Â ½Ã¼ú

    Áï½ÃÀÓÇöõÆ®´Â Ä¡¾Æ¸¦ »©¸é¼­ µ¿½Ã¿¡ ÀÓÇöõÆ®¸¦ ½Ä¸³ÇÏ´Â ¹æ¹ýÀ¸·Î Ä¡ÁÖ¿°, ¿¹»óÄ¡ ¸øÇÑ Ãæ°ÝµîÀ¸·Î Ä¡¾Æ°¡ ¼Õ½Ç ¶Ç´Â ¼Õ»ó µÇ¾úÀ»¶§ ¹Ù·Î ÀÓÇöõÆ®¸¦ ½É´Â °ÍÀ» ¸»ÇÕ´Ï´Ù.

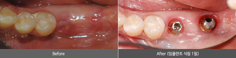
    Áï½ÃÀÓÇöõÆ® ÀüÈÄ»çÁø

Ä¡·áÁ¤º¸

ÀϹÝÀûÀ¸·Î ÀÓÇöõÆ® ½Ã¼ú½Ã ¹ßÄ¡Çϰí 2~3°³¿ù Á¤µµ ±â´Ù¸° ÈÄ ÀÓÇöõÆ®¸¦ ½É¾î¾ß ÇÏÁö¸¸ Áï½ÃÀÓÇöõÆ®´Â Ä¡¾Æ¸¦ »©´Â µ¿½Ã¿¡ ¹Ù·Î ÀÓÇöõÆ®¸¦ ½É±â ¶§¹®¿¡ °ñ¼Ò½Ç ÃÖ¼ÒÈ­¿Í ÀÕ¸ö À§ÃàÀ» ¿¹¹æÇÒ ¼ö ÀÖ°í ÅëÁõÀÌ ÀûÀ¸¸ç Àϻ󺹱Ͱ¡ °¡´ÉÇÕ´Ï´Ù. ÇÏÁö¸¸, ÀÕ¸ö¿°ÁõÀ̳ª ½ÉÇÑ °ñ¼Ò½ÇÀÌ ÀÖÀ» °æ¿ì Ä¡¾Æ»óŸ¦ °í·ÁÇÏ¿© ÀÓÇöõÆ® ½Ã¼ú °èȹÀ» ¼¼¿ö¾ß ÇÕ´Ï´Ù.

Áï½Ã ÀÓÇöõÆ® ½Ã¼ú´ë»ó

  • »ç°í·Î Ä¡¾Æ°¡ ½ÉÇÏ°Ô ºÎ·¯Á® »ì¸± °¡¸Á¼ºÀÌ ¾ø´Â °æ¿ì
  • Ä¡¾Æ ¼Õ»ó, ÆÄÀýÀ¸·Î ÀÎÇÑ ¹ßÄ¡¸¦ ÇØ¾ß ÇÏ´Â °æ¿ì
  • ½ÉÇÑ Ä¡ÁÖ ÁúȯÀ¸·Î ¹Ù·Î ¹ßÄ¡¸¦ ÇØ¾ß ÇÏ´Â °æ¿ì

Áï½Ã ÀÓÇöõÆ® °¡´ÉÇÑ »óÅÂ

  • ³ªÀ̳ª Ä¡¾Æ °Ç°­»óŰ¡ ÁÁÀº °æ¿ì
  • ³²¾ÆÀÖ´Â ÀÕ¸ö»À°¡ ưưÇÏ°í °ñ¹Ðµµ°¡ ÀûÇÕÇÑ °æ¿ì
  • ÀÕ¸ö¿¡ ¿°ÁõÀÌ ½ÉÇÏÁö ¾ÊÀº °æ¿ì

ÀÓÇöõÆ® Á¾·ù

¿À½ºÅÛ, ³×¿À ÀÓÇöõÆ®´Â ¼¼°èÀûÀ¸·Î ǰÁúÀÇ ¿ì¼ö¼ºÀ» ÀÎÁ¤¹Þ¾Æ ¹Ì±¹ FDA½ÂÀÎ ¹× À¯·´ CEÁ¦Ç°ÀÎÁõÀ» ȹµæÇÑ ±¹³» ¿ì¼ö ÀÓÇöõÆ®ÀÔ´Ï´Ù.

¿À½ºÅÛ ÀÓÇöõÆ®
¿À½ºÅÛ(Osstem) ÀÓÇöõÆ®
  • °ñÀ¯ÂøÀÌ ºü¸£°í ¿ì¼öÇÑ °ñ¹ÝÀÀÀ» º¸ÀÌ´Â
    ³ôÀº ¼º°ø·üÀ» À§ÇÑ ÀÓÇöõÆ®

¿À½ºÅÛ ÀÓÇöõÆ®

  • ±¹³» ÀÎÁöµµ°¡ °¡Àå ³ôÀº ÀÓÇöõÆ®
  • 10³â ÀÌ»óÀÇ Àå±â°£ ÀÓ»ó±â·Ï º¸À¯
  • ³ôÀº ÀÓÇöõÆ® ¼º°ø·ü
³×¿À(Neo Biotech) ÀÓÇöõÆ®
³×¿À(Neo Biotech) ÀÓÇöõÆ®
  • Àü¼¼°è 62¿©°³±¹ÀÇ ±¹°¡¿¡ ¼öÃâµÇ´Â
    ¹ÏÀ» ¼ö ÀÖ´Â ÀÓÇöõÆ®

³×¿À ÀÓÇöõÆ®

  • Àü¼¼°è 62¿©°³±¹ »ç¿ë
  • °ñÀ¯Âø±â°£ ´ÜÃà
  • Bons Loss ÃÖ¼ÒÈ­

¡Ø 2018³â 7¿ùºÎÅÍ ¸¸ 65¼¼ ÀÌ»ó °í·É ȯÀڵ鿡°Ô ÀÓÇöõÆ® ºñ¿ë¿¡ ´ëÇÑ º»ÀÎ ºÎ´ã·üÀÌ 50%¿¡¼­ 30%·Î ÀÎÇÏ µÇ¾ú½À´Ï´Ù.

¡Ø ¿øÁø¹Ù¸¥¾ó±¼Ä¡°ú¿¡¼­´Â 100% Á¤Ç° ÀÓÇöõÆ®¸¸À» »ç¿ë Çϰí ÀÖ½À´Ï´Ù.

ÀÓÇöõÆ® º¸Ã¶¹° Á¾·ù

Áö¸£ÄÚ´Ï¾Æ º¸Ã¶¹°Àº ¼¼¶ó¹ÍÀÇ °­µµ ¹®Á¦¸¦ ȹ±âÀûÀ¸·Î °³¼±ÇÑ Á¤¹ÐÇϰí ÀÌ»óÀûÀÎ Àç·á·Î ÀÚ¿¬Ä¡¿Í ±¸º°ÇÒ ¼ö ¾øÀ» Á¤µµÀÇ ÀÚ¿¬½º·¯¿ò°ú ¼ö¸í±îÁö °¡Áö°í ÀÖ½À´Ï´Ù.

ÀϹÝ(PFM) º¸Ã¶¹°
ÀϹÝ(PFM) º¸Ã¶¹°
  • º¸Ã¶¹°

pfm º¸Ã¶¹°

  • PFM(±Ý¼Ó)
  • ½É¹Ì¼º

Ä¡¾Æ¿Í ÀÕ¸ö ¶óÀο¡ °ËÀº¶ì°¡ º¸ÀÓ

  • °­µµ

°Ñ¸éÀÌ ¼¼¶ó¹ÍÀ¸·Î °­µµ°¡ ¾àÇÔ

  • Åõ¸íµµ

¼ÓÀÌ ±Ý¼Ó ÀçÁú·Î ºûÀÌ Åõ°úÇÏÁö ¸øÇÔ

Áö¸£ÄÚ´Ï¾Æ º¸Ã¶¹°
Áö¸£ÄÚ´Ï¾Æ º¸Ã¶¹°
  • º¸Ã¶¹°

Áö¸£ÄÚ´Ï¾Æ º¸Ã¶¹°

  • Áö¸£ÄڴϾÆ(zircornia)
  • ½É¹Ì¼º

ÀÚ¿¬Ä¡¾Æ¿Í À¯»çÇÑ ½É¹Ì¼º

  • °­µµ

±Ýº¸´Ù ³ôÀº °­µµ·Î ¹Ý¿µ±¸Àû

  • Åõ¸íµµ

Àüü°¡ ¼¼¶ó¹Í ÀçÁú·Î Åõ¸íµµ°¡ ¶Ù¾î³²

ÀÓÇöõÆ® ½Ã¼ú Àü / ÈÄ ÁÖÀÇ»çÇ×

    Q

    ½Ã¼ú Àü ÁÖÀÇ»çÇ×

- °íÇ÷¾ÐÀ̳ª ´ç´¢°¡ ÀÖÀ» °æ¿ì ¾àÀÇ º¹¿ë ¿©ºÎ¿Í Ç÷¾Ð, Ç÷´ç ¼öÄ¡¸¦ Á¤È®ÇÏ°Ô ÀÇ·áÁø¿¡°Ô ¾Ë·ÁÁÖ¼Å¾ß ÇÕ´Ï´Ù.
- ½ÉÇ÷°üÁúȯÀ̳ª ³úÁ¹Áß ¿¹¹æÀ» À§ÇØ ¾Æ½ºÇǸ°À» º¹¿ëÇϰí ÀÖ´Ù¸é ÀÇ·áÁø¿¡°Ô º¹¿ë »ç½ÇÀ» ¹Ýµå½Ã ¾Ë·Á ÁÖ¼Å¾ß ÇÕ´Ï´Ù.
- ƯÁ¤¾à¹°¿¡ ´ëÇÑ ºÎÀÛ¿ë, ¾Ë·¹¸£±â°¡ ÀÖ´Ù¸é ÀÇ·áÁø¿¡°Ô »çÀü¿¡ ¾Ë·ÁÁÖ¼Å¾ß ÇÕ´Ï´Ù.
- ½Ã¼ú Àü ¿Ïº®ÇÑ Ä¡·á¸¦ À§ÇØ ÃæºÐÇÑ È޽İú ½Ä»ç·Î ÃÖ»óÀÇ ÄÁµð¼ÇÀ» À¯ÁöÇÏ´Â°Ô ÁÁ½À´Ï´Ù.

    Q

    ½Ã¼ú ÈÄ ÁÖÀÇ»çÇ×

- ¼ö¼úºÎÀ§¿¡ 2½Ã°£ µ¿¾È °ÅÁ ¹°°í ÀÖ¾î¾ß ÇÕ´Ï´Ù. ÃâÇ÷·®ÀÌ ¸¹À» ½Ã »õ°ÅÁ ¹°°í º´¿øÀ¸·Î ¿¬¶ôÁֽñ⠹ٶø´Ï´Ù.
(´ëÇ¥¹øÈ£ : 02-3476-2879)
- ºü¸¥ ÁöÇ÷À» À§ÇØ È帣´Â Çdzª ħÀ» ¹ñÁö ¸¶½Ã°í »ïŰ½Ã´Â°Ô ÁÁ½À´Ï´Ù.
- ¼ö¼ú ÈÄ ¶ß°Ì°í ÀÚ±ØÀûÀÎ À½½ÄÀÇ ¼·Ã븦 »ï°¡ÇØÁֽðí, »¡´ë»ç¿ëÀ̳ª Èí¿¬Àº ÁöÇ÷À» ¹æÇØÇϱ⠶§¹®¿¡ »ï°¡ÇÏ½Ã´Â°Ô ÁÁ½À´Ï´Ù.
- ÂòÁú¹æ, »ç¿ì³ª, ¶¡ÀÌ ³ª´Â ¹«¸®ÇÑ ¿îµ¿Àº »ï°¡ÇÏ½Ã´Â°Ô ÁÁ½À´Ï´Ù.
- ¼ö¼ú ÈÄ º×±â, ÅëÁõ ¿ÏÈ­¸¦ À§ÇØ 48½Ã°£Àº µ¿¾È º×±â 10ºÐ °£°ÝÀ¸·Î ³ÃÂòÁúÀ» ÇØÁÖ´Â°Ô ÁÁ½À´Ï´Ù.
- ½Ã¼ú ÈÄ 3ÀϰºÎÅÍ´Â ¿ÂÂòÁú·Î ºü¸¥ ȸº¹ÀÌ °¡´ÉÇÕ´Ï´Ù.
- ¼ö¼ú ÈÄ 2ÁÖ µ¿¾ÈÀº ±Ý¿¬, ±ÝÁÖ ÇÏ½Ã´Â°Ô ÁÁ½À´Ï´Ù.
- ¼ö¼ú ÈÄ Ã³¹æµÈ ¾àÀº ²À ì°Ü µå½Ã°í ÀÓÀÇ·Î Áß´ÜÇÏ½Ã¸é ¾ÈµË´Ï´Ù.
- »ó¾Çµ¿ °Å»ó¼úÀ» ½ÃÇàÇÑ °æ¿ì ÄÚ¸¦ Ç®°Å³ª, Àçä±â´Â ÃÖ´ëÇÑ ÀÚÁ¦ÇØ ÁÖ½Ã°í ±â¾ÐÀÌ ¹Ù²ð ¼ö ÀÖ´Â ³ôÀº °÷¿¡ ¿Ã¶ó°¡°Å³ª, ºñÇà±â Ÿ½Ã´Â °ÍÀ» Á¦¾ÈÇÕ´Ï´Ù.

Áï½Ã ÀÓÇöõÆ® CASE

ÀÓÇöõÆ® ÀüÈÄ»çÁø
    Áï½ÃÀÓÇöõÆ® ÀüÈÄ»çÁø Áï½ÃÀÓÇöõÆ® ÀüÈÄ»çÁø

¿øÁø¹Ù¸¥¾ó±¼Ä¡°ú ÀÓÇöõÆ® Â÷º°¼º

Implant Orthodontic Treatment
  • #

    ¾ó±¼ ¾È¿¡¼­ÀÇ Á¶È­±îÁö ºÐ¼®ÇÏ¿© ¾Æ¸§´Ù¿ò ¼±»ç

    ¿øÁø¹Ù¸¥¾ó±¼Ä¡°ú´Â ÀÛ°í ¿¹»Û ¾ó±¼Çü»Ó ¾Æ´Ï¶ó ¾ó±¼ ¾È¿¡¼­ÀÇ Á¶È­±îÁö ºÐ¼®ÇÏ¿© ´ç½ÅÀÇ ¼û°ÜÁø ¾Æ¸§´Ù¿òÀ» ã¾Æµå¸³´Ï´Ù.

  • #

    ÇùÁøÀ» ÅëÇÑ Ã¶ÀúÇÑ °èȹ°ú ÷´Ü 3D CT¸¦ ÀÌ¿ëÇÑ Á¤¹Ð Áø´Ü

    ±³Á¤°ú, º¸Ã¶°úÀÇ ÇùÁøÀ» ÅëÇØ Ä¡¾Æ±³Á¤ °èȹÀ» ¼ö¸³Çϰí 3D CT¸¦ ÀÌ¿ëÇÑ ÆÇµ¶À¸·Î Á¤È®ÇÏ°í ¾ÈÀüÇÑ Áø·á°¡ °¡´ÉÇÕ´Ï´Ù.

  • #

    ÀÎü°øÇÐÀûÀ¸·Î Áø´ÜÇÏ´Â 3D°¡»ó ¿¹ÃøÇÁ·Î±×·¥

    3D °¡»ó ¿¹Ãø ÇÁ·Î±×·¥À» ÅëÇØ ±³Á¤ ÈÄ ¸ð½ÀÀ» Á¤È®È÷ ¿¹Ãø Áø´ÜÇÔÀ¸·Î½á ½ÇÁ¦Ä¡·á¿ÍÀÇ ¿ÀÂ÷¸¦ ÃÖ´ëÇÑ ÁÙÀ̰í ÀÖ½À´Ï´Ù.

  • #

    öÀúÇÑ »çÈİü¸® ¹× Ã¥ÀÓÁø·á

    ¿øÁø¹Ù¸¥¾ó±¼Ä¡°ú ÀÇ·áÁøÀº ½Ã¼ú ¹× Ä¡·á ÈÄ¿¡µµ ¸¸Á·½º·¯¿î °á°ú¸¦ À§ÇØ Ã¶ÀúÇÏ°Ô Ã¥ÀÓÀ» °®°í Áø·áÇϰí ÀÖ½À´Ï´Ù.

Ä«Åå»ó´ã ³×À̹ö¿¹¾à

¿øÁøÄ¡°úÀÇ¿ø